Neurons

Induced Pluripotent Stem (iPS) Cells

iPS cells generated from patients are in use to study neurodevelopmental disorders including Rett syndrome and autism. We also use iPS cells to model cardiomyopathies as a step towards drug screens for personalized medicine.

Gene Expression

Post-transcriptional gene regulation

We explore post-transcriptional regulation of disease-causing transcripts during in vitro human neurodevelopment. Our approach examines shifts in transcript stability and ribosome engagement, as well as activity-dependent translation in neurons.

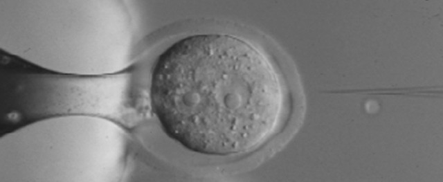
Past research - microinjection

Past Research

Until 2008, the lab focus was on Locus Control Region elements of the beta-globin gene and gene silencing of retrovirus and lentivirus vectors in stem cells. Our initial efforts to use iPSC to model lung disease (CF) are being completed by other team members.

Thanks to our funding partners for their generous support!

Canadian Institutes of Health Research
Ted Rogers Centre for Heart Research
SickKids Foundation logo
Canada Foundation for Innovation logo